Skip to content

# ทำ ฟั น กั บ พี่ ห มี

ทันตกรรมครบวงจร โดย ทันตแพทย์เฉพาะทาง

  • ฟอกสีฟัน Zoom
  • #1110 (no title)
  • Contact Info

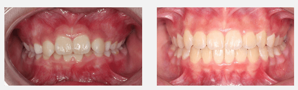
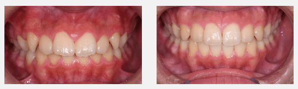
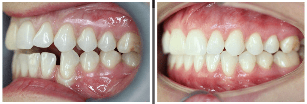
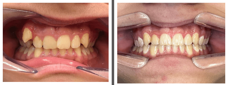
จัดฟันใสด้วย Invisalign

Share this:

  • Share on X (Opens in new window) X
  • Share on Facebook (Opens in new window) Facebook
Like Loading...
  • Facebook
  • Twitter
  • Instagram
  • Pinterest
  • WordPress
# ทำ ฟั น กั บ พี่ ห มี, Blog at WordPress.com.
  • Subscribe Subscribed
    • # ทำ ฟั น กั บ พี่ ห มี
    • Already have a WordPress.com account? Log in now.
    • # ทำ ฟั น กั บ พี่ ห มี
    • Subscribe Subscribed
    • Sign up
    • Log in
    • Copy shortlink
    • Report this content
    • View post in Reader
    • Manage subscriptions
    • Collapse this bar
 

Loading Comments...
 

    %d